Valvular Prosthesis Thrombosis Associated with DOACS: A Case Report
DOI:
https://doi.org/10.60591/crspmi.417Keywords:
Aortic Valve Disease, Factor Xa Inhibitors, Thrombosis, WarfarinAbstract
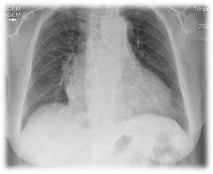
Valvular heart disease is an important cause of morbidity and mortality, with degenerative etiology predominating in developed countries and rheumatic etiology in underdeveloped countries. Aortic valve disease is the most lethal, and echocardiography is the reference test for diagnosis. We will describe the case of an 86-year-old woman with thrombosis of a mechanical aortic prosthesis secondary to a change in therapy from warfarin to rivaroxaban. In view of the patient's age and the risk of bleeding, therapy was started with low molecular weight heparin and acetylsalicylic acid. The patient evolved favorably with improved gradients and, on discharge, was put back on warfarin. The authors reviewed the literature on prosthesis thrombosis and anticoagulation in patients with mechanical aortic prostheses.
Downloads
References
1. Aluru JS, Barsouk A, Saginala K, Rawla P, Barsouk A. Valvular Heart Disease Epidemiology. Med Sci. 2022;10:32. doi: 10.3390/medsci10020032
2. Coffey S, Roberts-Thomson R, Brown A, Carapetis J, Chen M, Enriquez-Sarano M, Zühlke L, Prendergast BD. Nat Rev Cardiol. 2021;18:853-64. doi: 10.1038/s41569-021-00570-z
3. Vahanian A, Beyersdorf F, Praz F, Milojevic M, Baldus S, Bauersachs J, et al. 2021 ESC/EACTS Guidelines for the management of valvular heart disease. Eur Heart J. 2022;43:561. doi: 10.1093/eurheartj/ehab395
4. Soria Jiménez CE, Papolos AI, Kenigsberg BB, Ben-Dor I, Satler LF, Waksman R, et al. Management of Mechanical Prosthetic Heart Valve Thrombosis: JACC Review Topic of the Week. J Am Coll Cardiol. 2023;81:2115-27. doi: 10.1016/j.jacc.2023.03.412
5. Roudaut R, Serri K, Lafitte S. Thrombosis of prosthetic heart valves: diagnosis and therapeutic considerations. Heart. 2007;93:137-42. doi: 10.1136/hrt.2005.07118363
6. Otto CM, Nishimura RA, Bonow RO, Carabello BA, Erwin JP 3rd, Gentile F, et al. 2020 ACC/AHA Guideline for the Management of Patients With Valvular Heart Disease: A Report of the American College of Cardiology/American Heart Association Joint Committee on Clinical Practice Guidelines. Circulation. 2021;143:e72-e227. doi: 10.1161/CIR.0000000000000923
7. Eikelboom JW, Connolly SJ, Brueckmann M, Granger CB, Kappetein AP, Mack MJ, et al. Dabigatran versus warfarin in patients with mechanical heart valves. N Engl J Med. 2013;369:1206-14. doi: 10.1056/NEJMoa1300615.
8. Ryu R, Tran R. DOACs in Mechanical and Bioprosthetic Heart Valves: A Narrative Review of Emerging Data and Future Directions.
Clin Appl Thromb Hemost. 2022;28:10760296221103578. doi: 10.1177/10760296221103578
9. Durães AR, Bitar YS, Lima ML, Santos CC, Schonhofen IS, Filho JA, et al. Usefulness and Safety of Rivaroxaban in Patients Following Isolated Mitral Valve Replacement With a Mechanical Prosthesis. Am J Cardiol. 2018;122:1047-50. doi: 10.1016/j.amjcard.2018.06.015.
10. Roost E, Weber A, Alberio L, Englberger L, Reineke D, Keller D, et al. Rivaroxaban in patients with mechanical heart valves: A pilot study. Thromb Res. 2020 Feb;186:1-6. doi: 10.1016/j.thromres.2019.12.005. Epub 2019 Dec 7
11. Guimarães HP, Lopes RD, de Barros E, Silva PG, Liporace IL, Sampaio RO, et al. Rivaroxaban in Patients with Atrial Fibrillation and a Bioprosthetic Mitral Valve. N Engl J Med. 2020;383:2117-26. doi: 10.1056/NEJMoa2029603.
12. Duraes AR, de Souza Lima Bitar Y, Schonhofen IS, Travassos KS, Pereira LV, Filho JA, et al. Rivaroxaban Versus Warfarin in Patients with Mechanical Heart Valves: Open-Label, Proof-of-Concept trial-The RIWA study. Am J Cardiovasc Drugs. 2021;21:363-71. doi: 10.1007/s40256-020-00449-3.
13. Dangas GD, Tijssen JG, Wöhrle J, Søndergaard L, Gilard M, Möllmann H, et al. A Controlled Trial of Rivaroxaban after Transcatheter Aortic-Valve Replacement. N Engl J Med. 2020;382:120-9. doi: 10.1056/NEJMoa1911425.
14. Wang TY, Svensson LG, Wen J, Vekstein A, Gerdisch M, Rao VU, et al. Apixaban or Warfarin in Patients with an On-X Mechanical Aortic Valve. NEJM Evid. 2023;2:EVIDoa2300067. doi: 10.1056/EVIDoa2300067.
Downloads
Published
How to Cite
Issue
Section
Categories
License
Copyright (c) 2025 Juliana Carneiro, João Miguel Santos, Davide Moreira

This work is licensed under a Creative Commons Attribution 4.0 International License.




