Community-Acquired Necrotizing Pneumonia due to Panton-Valentine Leukocidin-Producing Methicillin-Sensitive Staphylococcus aureus
DOI:
https://doi.org/10.60591/crspmi.455Keywords:
Bacterial Toxins, Leukocidins; Methicillin-Resistant Staphylococcus aureus, Pneumonia, Necrotizing, Staphylococcal InfectionsAbstract
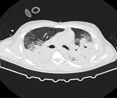
The Panton Valentine Leukocidin (PVL), produced by Staphylococcus aureus (SA) strains, is a potent virulence factor associated with severe invasive disease. One of the most serious clinical presentations, necrotizing pneumonia, frequently presents in previously healthy young individuals. However, PVL presence is not routinely tested, and strong clinical suspicion should guide clinicians, since appropriate antimicrobial therapy, with the association of agents capable of PVL production inhibition, is crucial. The authors hereby present a case report of a young, previously healthy adult male, admitted to an Intensive Care Unit due to acute hypoxemic respiratory failure. The patient evolved with a severe necrotizing pneumonia due to methicillin-susceptible Staphylococcus aureus (MSSA) and Klebsiella pneumoniae requiring two beta-lactam antibiotic therapy and invasive mechanical ventilation. Persistent clinical deterioration led to the clinical suspicion of an underlying PVL-producing SA strain. The patient evolved favourably with the association of linezolid and laboratory testing posteriorly confirmed PVL-producing MSSA.
Downloads
References
1. Saeed K, Gould I, Esposito S, Ahmad-Saeed N, Ahmed SS, Alp E, et al. Panton-Valentine leukocidin-positive Staphylococcus aureus: a position statement from the International Society of Chemotherapy. Int J Antimicrob Agents. 2018;51:16–25. doi: 10.1016/j.ijantimicag.2017.11.002.
2. Leistner R, Kola A, Gastmeier P, Kruger R, Hoppe PA, Schneider-Burrus S, et al. Pyoderma outbreak among kindergarten families: Association with a Panton-Valentine leukocidin (PVL)-producing S. aureus strain. PLoS One. 2017;12:e0189961. doi: 10.1371/journal.pone.0189961.
3. Lina G, Piemont Y, Godail-Gamot F, Bes M, Peter MO, Gauduchon V, et al. Involvement of Panton-Valentine leukocidin-producing Staphylococcus aureus in primary skin infections and pneumonia. Clin Infect Dis. 1999;29:1128–32. doi: 10.1086/313461.
4. Gillet Y, Issartel B, Vanhems P, Fournet JC, Lina G, Bes M, et al. Association between Staphylococcus aureus strains carrying gene for Panton-Valentine leukocidin and highly lethal necrotising pneumonia in young immunocompetent patients. Lancet. 2002;359:753–9. doi: 10.1016/S0140-6736(02)07877-7.
5. Gillet Y, Tristan A, Rasigade JP, Saadatian-Elahi M, Bouchiat C, Bes M, et al. Prognostic factors of severe community-acquired staphylococcal pneumonia in France. Eur Respir J. 2021;58:2004445. doi: 10.1183/13993003.04445-2020.
6. Hidron AI, Low CE, Honig EG, Blumberg HM. Emergence of community-acquired meticillin-resistant Staphylococcus aureus strain USA300 as a cause of necrotising community-onset pneumonia. Lancet Infect Dis. 2009;9:384–92. doi: 10.1016/S1473-3099(09)70133-1.
7. Shallcross LJ, Fragaszy E, Johnson AM, Hayward AC. The role of the Panton-Valentine leucocidin toxin in staphylococcal disease: a systematic review and meta-analysis. Lancet Infect Dis. 2013;13:43–54. doi: 10.1016/S1473-3099(12)70238-4.
8. Morgan MS. Diagnosis and treatment of Panton-Valentine leukocidin (PVL)-associated staphylococcal pneumonia. Int J Antimicrob Agents. 2007;30:289–96. doi: 10.1016/j.ijantimicag.2007.04.019.
9. Labandeira-Rey M, Couzon F, Boisset S, Brown EL, Bes M, Benito Y, et al. Staphylococcus aureus Panton-Valentine leukocidin causes necrotizing pneumonia. Science. 2007;315:1130–3. doi: 10.1126/science.1137165.
10. Panton PN, Valentine FCO. Staphylococcal Toxin. Lancet. 1932;219:506–8.
11. Alonzo F, 3rd, Torres VJ. The bicomponent pore-forming leucocidins of Staphylococcus aureus. Microbiol Mol Biol Rev. 2014;78:199–230. doi: 10.1128/MMBR.00055-13.
12. Loffler B, Hussain M, Grundmeier M, Bruck M, Holzinger D, Varga G, et al. Staphylococcus aureus Panton-Valentine leukocidin is a very potent cytotoxic factor for human neutrophils. PLoS Pathog. 2010;6:e1000715. doi: 10.1371/journal.ppat.1000715.
13. Rasigade JP, Laurent F, Lina G, Meugnier H, Bes M, Vandenesch F, et al. Global distribution and evolution of Panton-Valentine leukocidin-positive methicillin-susceptible Staphylococcus aureus, 1981-2007. J Infect Dis. 2010;201:1589–97. doi: 10.1086/652008.
14. Brown ML, O'Hara FP, Close NM, Mera RM, Miller LA, Suaya JA, et al. Prevalence and sequence variation of panton-valentine leukocidin in methicillin-resistant and methicillin-susceptible staphylococcus aureus strains in the United States. J Clin Microbiol. 2012;50:86–90. doi: 10.1128/JCM.05564-11.
15. Peyrani P, Allen M, Wiemken TL, Haque NZ, Zervos MJ, Ford KD, et al. Severity of disease and clinical outcomes in patients with hospital-acquired pneumonia due to methicillin-resistant Staphylococcus aureus strains not influenced by the presence of the Panton-Valentine leukocidin gene. Clin Infect Dis. 2011;53:766–71. doi: 10.1093/cid/cir541.
16. Zhang C, Guo L, Chu X, Shen L, Guo Y, Dong H, et al. Presence of the Panton-Valentine Leukocidin Genes in Methicillin-Resistant Staphylococcus aureus Is Associated with Severity and Clinical Outcome of Hospital-Acquired Pneumonia in a Single Center Study in China. PLoS One. 2016;11:e0156704. doi: 10.1371/journal.pone.0156704. eCollection 2016.
17. Hoppe PA, Holzhauer S, Lala B, Buhrer C, Gratopp A, Hanitsch LG, et al. Severe infections of Panton-Valentine leukocidin positive Staphylococcus aureus in children. Medicine. 2019;98:e17185. doi: 10.1097/MD.0000000000017185.
18. Ferreira C, Costa SS, Serrano M, Oliveira K, Trigueiro G, Pomba C, et al. Clonal Lineages, Antimicrobial Resistance, and PVL Carriage of Staphylococcus aureus Associated to Skin and Soft-Tissue Infections from Ambulatory Patients in Portugal. Antibiotics. 2021;10:345. doi: 10.3390/antibiotics10040345.
19. Soavi L, Signorini L, Stellini R, Acquarolo A, Fiorese B, Magri S, et al. Linezolid and clindamycin improve the outcome of severe, necrotizing pneumonia due to community-acquired methicillin-resistant Staphylococcus aureus (CA-MRSA). Infez Med. 2011;19:42–4.
20. Micek ST, Dunne M, Kollef MH. Pleuropulmonary complications of Panton-Valentine leukocidin-positive community-acquired methicillin-resistant Staphylococcus aureus: importance of treatment with antimicrobials inhibiting exotoxin production. Chest. 2005;128:2732–8. doi: 10.1378/chest.128.4.2732.
21. Dumitrescu O, Choudhury P, Boisset S, Badiou C, Bes M, Benito Y, et al. Beta-lactams interfering with PBP1 induce Panton-Valentine leukocidin expression by triggering sarA and rot global regulators of Staphylococcus aureus. Antimicrob Agents Chemother. 2011;55:3261–71. doi: 10.1128/AAC.01401-10.
22. Stevens DL, Ma Y, Salmi DB, McIndoo E, Wallace RJ, Bryant AE. Impact of antibiotics on expression of virulence-associated exotoxin genes in methicillin-sensitive and methicillin-resistant Staphylococcus aureus. J Infect Dis. 2007;195:202–11. doi: 10.1086/510396.
23. Guidance on the diagnosis and management of PVL-associated Staphylococcus aureus infections (PVL-SA) in England. PVL sub-group of the Steering Group on Healthcare Associated Infection - Health Protection Agency; 2008 November, 7.
24. Libert N, Batjom E, Cirodde A, de Rudnicki S, Grasser L, Borne M, et al. Traitements antitoxiniques et pneumopathies nécrosantes à Staphylococcus aureus sécréteurs de leucocidine de Panton-Valentine. Med Mal Infect. 2009;39:14–20.
Downloads
Published
How to Cite
Issue
Section
Categories
License
Copyright (c) 2025 Vitor Mendes, Patrícia Moniz, Pedro Póvoa

This work is licensed under a Creative Commons Attribution 4.0 International License.




