Pulmonary Actinomycosis in a Young Immunocompetent Patient: A Case Report
DOI:
https://doi.org/10.60591/crspmi.427Keywords:
Actinomycosis, Immunocompetence, Lung DiseasesAbstract
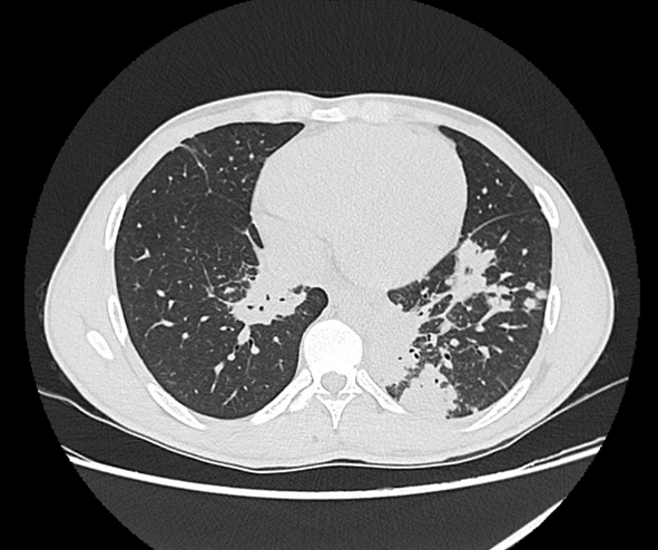
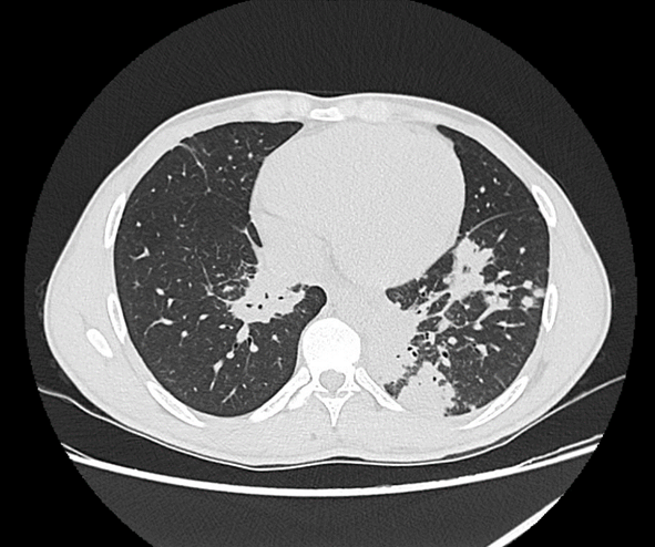
Actinomycosis is an infection characterized by the formation of abscesses, fistulas, and tissue fibrosis. It can mimic several other conditions, particularly malignancy and granulomatous disease. The suspicion is clinical, and the diagnosis is confirmed by identifying Actinomyces israelii or other Actinomyces spp. through microscopy and sputum culture or biopsy. Treatment involves prolonged antibiotic therapy. The case presented is of a young patient with persistent fever, cough, and no improvement with initial treatment. Computed tomography (CT) scan imaging showed slight consolidation in the lower lung base. Investigation for tuberculosis was negative, and positive for Actinomyces spp. Treatment was started with high-dose amoxicillin, with good progress and regression of symptoms, and a plan for prolonged treatment.
Downloads
References
1. Könönen E, Wade WG. Actinomyces and related organisms in human infections. Clin Microbiol Rev. 2015;28:419–42.
2. Bing AU, Loh SF, Morris T, Hughes H, Dixon JM, Helgason KO. Actinomyces species isolated from breast infections. J Clin Microbiol. 2015;53:3247–55. doi:10.1128/JCM.01030-15.
3. Jenkins C, Ganapathy A, Fancher C, Matsushima K. Persistent multispecies Actinomyces mastitis treated with repeated aspiration and long-term oral antibiotics. Am Surg. 2023;89:2076–8. doi:10.1177/00031348211025748.
4. Goussard P, Eber E, Rabie H, Nel P, Schubert P. Paediatric pulmonary actinomycosis: a forgotten disease. Paediatr Respir Rev. 2022;43:2–10. doi:10.1016/j.prrv.2021.09.001.
5. Hajri M, Zouari R, Mallek I, Bacha D, Bayar R, Ben Slama S. Acute large bowel obstruction with actinomycosis of the sigmoid colon mimicking neoplasm: a case report. F1000Res. 2024;13:669. doi:10.12688/f1000research. 151907.2.
6. Wang C, Xian S, Jiang D, Huang J. Actinomycosis presenting as a nasopharyngeal mass: a case report. Oral Oncol. 2024;153:106838. doi:10.1016/j.oraloncology.2024.106838.
7. Liao CH, Wu TY, Lin YL, Liu WD, Wang JT, Chen JS, et al. Pericardial actinomycosis in a 79-year-old man with poor dental hygiene: a case report. Am J Trop Med Hyg. 2024;110:504–8. doi:10.4269/ajtmh.23-0618.
8. Xu YY, Zhang J, Lu AL, Peng J, Xu XW. Clinical features of actinomycosis: a 20-year experience of a single institute in Southern China. J Mycol Med. 2021;31:101169. doi:10.1016/j.mycmed.2021.101169.
9. Boot M, Archer J, Ali I. The diagnosis and management of pulmonary actinomycosis. J Infect Public Health. 2023;16:490–500. doi:10.1016/j.jiph.2023.02.004.
10. Mabeza GF, Macfarlane J. Pulmonary actinomycosis. Eur Respir J. 2003;21:545–51.
11. Suzuki M, Araki K, Matsubayashi S, Kobayashi K, Morino E, Takasaki J, et al. A case of recurrent hemoptysis caused by pulmonary actinomycosis diagnosed using transbronchial lung biopsy after bronchial artery embolism and a brief review of the literature. Ann Transl Med. 2019;7:108.
12. Rizzi A, Rocco G, della Pona C, Robustellini M, Rossi G, Massera F, et al. Pulmonary actinomycosis: surgical considerations. Monaldi Arch Chest Dis. 1996;51:369–72.
13. Martin MV. The use of oral amoxycillin for the treatment of actinomycosis: a clinical and in vitro study. J Antimicrob Chemother. 1984;14:252–4.
Downloads
Published
How to Cite
Issue
Section
Categories
License
Copyright (c) 2025 Hugo Leonardi Baldisserotto, Iana Fernanda de Medeiros Cabral

This work is licensed under a Creative Commons Attribution 4.0 International License.




